Normal scars follow a cycle of matrix proliferation, stabilisation and maturation. Hypertrophic scars follow a more protracted course, whilst Keloid scars do not follow this cycle of evolution. They are both abnormal scars.
The main differences between hypertrophic and keloid scars can be remembered by the mnemonic BAD SCAR.

Clinical Differences
There may be symptoms of pain, tenderness, and pruritus.


Morphological Differences
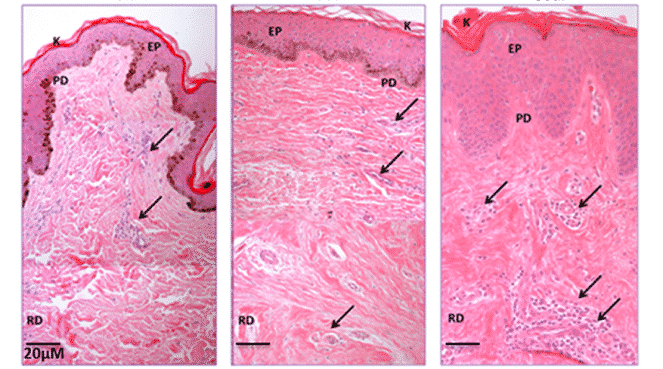
The diagnosis of keloids and hypertrophic scars is clinical. If uncertain, consider a biopsy.
| Hypertrophic | Keloid | |
| Collagen | Type III | Type I + III |
| Fibers | Parallel to epidermis | Random to epidermis |
| Myofibroblasts | Present | Absent |
| Cell Number | Increased | Decreased in nodules Increased in periphery |

Natural History
A normal scar increases in height and firmness during matrix proliferation, The scar then stabilises for 6-9 months before becoming flat and smooth during maturation. Hypertrophic scarring begins like normal scarring, except with a prolonged time course. Keloid scarring does not follow the normal scar evolution pattern.
| Hypertrophic | Keloid | |
| Resolve | Spontaneous (most) | No |
| Recur post-Surgery | No | Yes |

The different forms of treatment options and their varying success rates emphasises the difference between keloid and hypertrophic scars. It also suggests a significant heterogeneity within each category of the scar.
Sources
- Hypertrophic response and keloid diathesis: two very different forms of scar. Plast Reconstr Surg. 2005 Dec;116(7):150e-157e. Burd A, Huang L.
- Duration of Scar Maturation: Retrospective Analyses of 361 Hypertrophic Scars Over 5 Years. Advances in Skin & Wound Care: January 2019. Kant, Sander, MD